スタッフが2名増えました。
こんにちは。院長の高橋です
今月末より、常勤2名スタッフが増えました。
一人はこの道??年の超ベテラン衛生士さん、長谷川さんです。
もうひとりは今年専門学校を卒業した加賀さん。
日本歯科医師会の認定助手です。
2人とも早く馴染んで、頑張ってほしいです。。
スタッフ紹介の写真も見てくださいね!!
よく考えてみると、清流歯科は総勢11名。うち非常勤Dr2名、パート衛生士2名、保育士1名。
常時5~6名で診療にあたり、平日保育士が託児にあたっています。
患者さんへのサービスの質が低下しないよう、院長としてしっかりやっていこうと思います。。
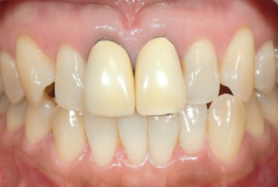
さて、先日お話したセラミックのお話ですが、ちょうど、写真が手元にあるので御紹介します。
治療前
治療後
写真は、装着直後で歯肉が安定しておりませんが、先日のメインテナンス時はとてもいいFitでした。
本人自信にも満足していただいております。ちなみに治療前は保険の歯です。
基本的に当院では、金属を使用しないオールセラミックスを奥歯から前歯までお勧めいたします。
自分の体の中に装着するものとして、安心し、満足いく歯を提供したいですね。

